
FLORIDA REDFOOT TORTOISE SANCTUARY,INC.
Loved by our tortoise community.
★★★★★
FOR THE LOVE OF REDFOOT TORTOISES...
Welcome To TortsRus!


Class III Wildlife Permit for Commercial Use (ESC)




Tortoise Care Services
🌿 Our Mission
At Torts R Us – Florida Redfoot Tortoise Sanctuary, Inc., our mission is to rescue, protect, and provide lifelong sanctuary for surrendered and displaced Redfoot tortoises, while educating the community about responsible exotic pet ownership and wildlife care.
We are a registered 501(c)(3) nonprofit organization located in Port St. Lucie, Florida, permitted through the State of Florida and the Florida Fish and Wildlife Conservation Commission (FWC) as a Class III ESC wildlife facility. This designation allows us to legally and safely care for and house Redfoot tortoises in accordance with state regulations.
Many of the tortoises we take in have been abandoned, neglected, or surrendered by owners who were unaware of their long lifespan and specialized care needs. At our sanctuary, every tortoise receives veterinary exams, medical testing, proper nutrition, and safe enclosures designed to meet its unique environmental requirements.
Beyond rescue and rehabilitation, we’re deeply committed to education and outreach — visiting schools, senior centers, and community events to teach compassion, conservation, and responsible pet care.
At Torts R Us, every tortoise matters. With the support of our community, we provide these incredible animals with the love, safety, and second chance they deserve.
Providing compassionate care for REDFOOT tortoises in our Florida sanctuary.
🐢 Rescue & Rehabilitation
We rescue abandoned, mistreated, and neglected Redfoot tortoises, providing them with the medical care, nutrition, and safe environment they need to heal and thrive.




PGA Animal Clinic - Michael A. Gillen,DVM,Owner is the only veterinarian we would trust and have handle any of our animals especially our Tortoises. Located in Palm Beach Gardens, Florida
Emergency Vet Fund PLEASE Donate Now!




Most of the time the females come to us with EGGS inside of them!
🧪 PCR Testing & Veterinary Care at Our Sanctuary
At Florida Redfoot Tortoise Sanctuary (Torts R Us), health and safety always come first. Every tortoise in our care—whether a lifelong resident or a new rescue—must meet strict veterinary and testing standards before joining our sanctuary population.
These protocols protect every tortoise already here and ensure new arrivals receive the medical care they deserve.
Why PCR Testing Is So Important
PCR (Polymerase Chain Reaction) testing is one of the most reliable tools in reptile medicine. It allows veterinarians to detect serious and often hidden diseases that may not show symptoms right away.Many tortoises can appear healthy while carrying infections that can spread silently and become deadly in a shared environment
PCR testing helps us identify and prevent the spread of diseases such as:
Mycoplasma
Herpesvirus
Ranavirus
Tortoise Intranuclear Coccidiosis (TINC)
Without PCR testing, introducing a single untested tortoise could place every animal in our sanctuary at risk.
Our Veterinary Testing Protocol 👉 Donate today to help cover life-saving PCR testing and veterinary care.
Before any tortoise is fully integrated into the sanctuary, we require:
PCR testing for contagious viral and bacterial diseases
Fecal exams to check for internal parasites
Veterinary exams to assess overall health and body condition
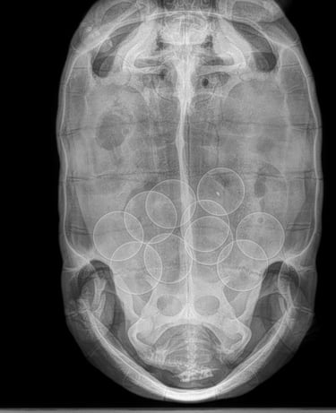
X-rays (when recommended) to detect retained eggs, ingested rocks, or internal issues
PCR samples are collected by our experienced exotic veterinarian and sent to a specialized diagnostic laboratory for analysis. Results can take up to two weeks, during which time the tortoise remains in strict quarantine.
Quarantine Saves Lives
All incoming tortoises are housed separately until:
Test results are received
Health concerns are addressed
Veterinary clearance is given
This quarantine process is essential. It prevents accidental exposure and gives each new tortoise time to stabilize, recover, and receive individualized care.
Why This Matters — and Why It’s Costly
PCR testing and veterinary care are not optional for a responsible sanctuary. These tests cost hundreds of dollars per tortoise, but they are critical to maintaining a safe, disease-free environment.
Your donations help cover:
PCR and lab testing
Veterinary visits and diagnostics
Quarantine housing and supplies
Ongoing medical care for lifelong residents
Because rescue is only the beginning—lifetime care is the commitment.
Our Promise We will never cut corners when it comes to health and safety.Every test, every exam, and every protocol exists for one reason:
to give rescued Redfoot tortoises a second chance at a healthy, secure life.Thank you for helping us protect them.
❤️ Help Protect Every Tortoise We Rescue
PCR testing and veterinary care save lives—but they are expensive.
Your donation directly supports disease testing, quarantine care, and critical medical treatment for rescued Redfoot tortoises.
Every dollar helps keep our sanctuary safe and healthy.
👉 Donate today to help cover life-saving PCR testing and veterinary care.
🐢 Rescue Is Only the Beginning *
Every tortoise that enters our sanctuary must be tested, treated, and protected before joining our residents. These medical protocols are essential—but costly.
Your support helps ensure:
No disease spreads
No tortoise is overlooked
Every rescue receives proper medical care
👉 Make a donation today and help us give them a lifetime of care.
🧪 Your Donation Saves Lives Before Symptoms Appear
PCR testing allows us to detect deadly diseases before they spread.
Without donor support, this level of care would not be possible.
When you donate, you are funding:
PCR and fecal testing
Veterinary exams and diagnostics
Quarantine housing and medical supplies
👉 Donate now to protect every tortoise in our care.
💚 Stand With Us in Doing It the Right Way
We refuse to cut corners when it comes to animal health.
We choose testing, quarantine, and expert veterinary care—every time. But we can’t do it alone. 👉 Please consider making a donation today to support responsible rescue and lifelong care.
🚨 Red-footed tortoises (Chelonoidis carbonarius) are not native to Florida or anywhere in the United States. They originate from tropical regions of South America, where the climate is consistently warm, humid, and stable year-round.
Florida’s environment — especially its cold snaps, temperature swings, and dry winters — is not suitable for Red-footed tortoises to survive long-term in the wild.
❄️ Why Releasing a Red-Footed Tortoise Is Extremely Dangerous
Releasing a captive Red-footed tortoise is not “setting it free” — it is often a death sentence.
Red-foots cannot tolerate cold temperatures. Even short exposure to temperatures below their safe range can cause:
Respiratory infections
Immune system failure
Organ damage
Pneumonia
Death
🚨 Cold stress can happen quickly and silently, especially overnight 🚨
⚠️ Other Serious Risks of Releasing Captive Tortoises
In addition to cold exposure, released tortoises face:
Predators (dogs, raccoons, birds of prey, vehicles)
Starvation or dehydration
Exposure to pesticides and toxins
Disease transmission to native wildlife
Severe stress from unfamiliar environments
Captive tortoises also lack survival skills needed to forage, hide, or regulate their health in the wild.
🐢 Releasing Is Illegal and Harmful — Surrender Is the Right Choice
Releasing non-native reptiles is illegal in many areas and harmful to both the animal and the ecosystem.
If you can no longer care for a Red-footed tortoise:
✔️ Do not release it
✔️ Do not abandon it
✔️ Do not “set it free”
Instead, contact a licensed rescue or sanctuary that understands the complex care these animals require.
🌿 Community Education
🚫 Red-Footed Tortoises Are NOT Native to Florida or the United States
💚 Our Commitment at Torts R Us
At Florida Redfoot Tortoise Sanctuary, Inc. (Torts R Us), we exist to prevent unnecessary suffering caused by abandonment, improper care, and illegal release. We provide:
Safe surrender options
Veterinary testing and quarantine
Proper climate-controlled habitats
Lifelong care for tortoises who cannot be rehomed
Because rescue is only the beginning — lifelong care is the promise
🐢 Book an Educational Visit!
Bring learning to life with Torts R Us – Florida Redfoot Tortoise Sanctuary, Inc.
✅ Perfect for:
Homeschool groups
Private & public schools
Birthday parties & community events
✅ What We Offer:
Hands-on tortoise encounters
Fun, interactive lessons on care & conservation
Educational materials for all ages
Every visit supports our 501(c)(3) nonprofit mission to rescue, care for, and educate others about Redfoot tortoises.
We educate the community about responsible tortoise care, conservation, and the importance of giving these amazing animals a safe, lifelong home.


🐢 Surrendering Your Tortoise to Our Sanctuary
If you can no longer care for your tortoise, we provide a safe, lifelong home where they will receive proper diet, veterinary care, and enrichment for the rest of their lives.


💛 Love, Laughter & Shells
Welcome to our world at Torts R Us, where every tortoise has a story — and every moment is filled with love.
Here, you’ll see the true heart of our sanctuary: tender moments of connection, curious looks, and the silly, lovable personalities of our Redfoot tortoises. They each have their own quirks — some love neck rubs, some pose for the camera, and others just want to follow us around.
These photos capture what words can’t — the joy, peace, and warmth these amazing creatures bring into our lives every single day.
Through their gentle nature and playful spirit, they remind us that love doesn’t need to rush... sometimes it just walks slowly on four sturdy feet and a shell.




























Donate Now to Make a Difference
Give a Tortoise a Second Chance Today
Join Our Shell Family — Become a Monthly Supporter!
Be Their Hero — Donate Now
Be Part of Their Forever Story
Keep Their Sanctuary Growing
Give Hope. Give Shelter. Give Love
Help Us Give Forever Homes to Redfoot Tortoises
Be Their Voice. Be Their Hero
Healing Starts With Your Gift
Florida Redfoot Tortoise Sanctuary,Inc.
100% of your donation helps us give abandoned, neglected, and mistreated Red foot Tortoises a chance at a better life. Many of these tortoises are misunderstood and face serious health issues due to improper care. At our sanctuary, each tortoise receives veterinary exams, treatments, and a safe environment to heal. With your support, we provide lifelong care, ensuring these incredible creatures thrive in their natural habitat. Help us raise awareness and provide a permanent home for tortoises in need. Donate today and make a difference!
Location:
Port St Lucie, Florida
Hours:
By Appointment Only !!!




Love Tortoises? Show It Here ❤️
You Can Be the Reason a Tortoise Thrives
Turn Compassion Into Action
🐢 About Redfoot Tortoises
Redfoot Tortoises (Chelonoidis carbonarius) are gentle, intelligent, and social reptiles native to the warm, humid forests of South America, especially the Amazon Basin, Venezuela, Brazil, and Paraguay.
They’re known for their beautiful shells, dark brown or black in color with golden centers, and their signature bright red or orange scales on the legs — “red feet.”
🌎 Natural Habitat
In the wild, Redfoot Tortoises live in tropical forests, savannas, and shaded grasslands.
They prefer areas that are warm, humid, and full of leaf litter, where they can burrow, explore, and find shade.
Unlike many other tortoises, Redfoots are quite adaptable — they’re active during cooler hours of the day and often come out after rain to forage.
🥬 Diet & Nutrition
Redfoot Tortoises are omnivores, meaning they eat both plants and small amounts of protein.
A healthy diet includes:
Fresh greens and leafy vegetables (collard, mustard, dandelion greens)
Fruits such as papaya, mango, melon, and berries (in moderation)
Occasional protein like cooked egg or low-fat dog food
Calcium and vitamin supplements for healthy shell growth
At Torts R Us, we feed each tortoise a carefully balanced diet based on their age and health needs to keep them healthy and thriving.
🌡️ Temperature & Humidity
Redfoot Tortoises need warm, humid environments to stay healthy.
Ideal daytime temperatures are around 70 –90°F, with a cooler nighttime drop to lowest of 70°F, and humidity between 70–80%.
We provide heat lamps, misting systems, and cozy shelters — even Pet beds! — to keep our tortoises comfortable year-round.
💕 Behavior & Personality
Redfoot Tortoises are curious and interactive — many recognize their caretakers and enjoy gentle attention.
They’re excellent at problem-solving and exploring their surroundings.
Each tortoise here at Torts R Us has its own personality — from shy and mellow to bold and adventurous! (Bunny for sure! )
💚 Lifespan & Care Commitment
Redfoot Tortoises can live 50 to 80 years or more, making them a lifelong commitment for any owner or rescuer.
That’s why sanctuaries like ours exist — to provide a safe, permanent home for tortoises who outlive or are surrendered by their owners.
We focus on education, rescue, and proper husbandry so others can learn what it takes to care for these amazing animals.
Questions:
1. People ask me why do I incubate tortoise eggs if you already have so many needing care? At Torts R Us, our priority is to provide lifelong care for the tortoises already here. However, as a sanctuary, we do not interfere with their natural behaviors, and females lay eggs as part of their normal biological cycle.
We choose to incubate their eggs for several reasons:
✅ Preventing harm to developing embryos:
Eggs left in the ground often get broken, rot , and or get eaten by other animals.
✅ Supporting species stability – Although Redfoot tortoises are not critically endangered, wild populations are declining. Every life has value, and our sanctuary also educates the public about their conservation needs through hatchling outreach programs.
✅ Ethical responsibility – We do not breed intentionally for profit. We simply allow them to live as naturally as possible, and we take responsibility for any eggs produced under our care. Every hatchling remains part of our sanctuary family unless it is responsibly adopted under strict agreements.
✅ Education and awareness – Hatchlings help us teach children and adults about responsible pet ownership, proper tortoise care, and why rescues like ours are needed in the first place.
Reviews...
I’m so grateful Mango (Cherryhead) found his way to Torts R Us. After doing my best to care for a red-footed tortoise I rescued, I realized I wasn’t the right long-term fit. I didn’t want to surrender him to a pet store—I wanted him to go somewhere safe and loved. I found this sanctuary online and submitted an inquiry, and Gina called me the same day. From the start, it was clear how deeply she cares for these animals. She made the process easy and comforting, especially knowing how hard it was to say goodbye. She even kept me updated on his progress. When we met, she was incredibly kind and clearly knowledgeable. I have complete peace knowing Mango is in the best hands possible. Maria S.
A Huge Thank You!
We want to give a heartfelt shoutout to an incredible lady who went out of her way to help connect us with several Redfoot Tortoises in desperate need of a new home. Thanks to Gina's kindness and dedication, these sweet torts are now safe, happy, and thriving - rehomed together with our own Redfoot Tortoise.
They're already bonding, exploring, and living their lives - and it's all because of one amazing act of compassion.
From the bottom of our hearts (and shells), thank you for making such a big difference. You've helped create a little Tortoise family, and we are so grateful!
Veronica & Briana


I am SO grateful I had found you through Facebook friends, I knew I wanted to go through a reputable rescue/organization and gina checked all the boxes for me. Throughout the entire process from the first phone call about adoption to me leaving with Otis in the car was very smooth, informative and helpful. I was reassured I couldn't have made a better decision. The care package gina ( TortsRus.org ) had sent home with us has been extremely helpful. Since he's been home he's shown us he's been a happy healthy Tortoise and is really the coolest pet I've ever had join the family. Any questions or concerns gina's been very attentive to and as a first time Tortoise owner that has been a huge help. If I ever thought about going this route again Gina would absolutely be the first person I call! Kaylen
4. Visiting TortsRUs was such a heartwarming experience! Gina’s sanctuary is a peaceful haven for red-footed tortoises & it’s very clear how much love & care goes into every part of it. It was truly lovely to see the space she’s created for them - natural, clean, & filled with thoughtful touches to keep the tortoises happy, healthy, & thriving! We were especially touched to see volunteers working alongside Gina, helping to maintain such a comfortable & enriching environment for the tortoises. Every tortoise looked incredibly well taken care of, with an abundance of space to roam, play, & explore.We’re so thankful & absolutely delighted to have not only found this organization but also to have adopted our Darwin from TortsRUs. Knowing he came from such a caring team & place gives us peace of mind... & Darwin has brought us so much joy! We truly feel like we were matched perfectly to not only Darwin's needs, but ours as well. Thank you, Gina & team, for everything you do! Stephanie S.


I would like to give a huge shout out to Gina Smith. She helped me with getting my Redfoot tortoise. But then she kept in touch with me regarding my new baby Redfoot. I am so thankful I found her on social media. Thank you so much Gina
Gail G.
Another Beautiful Female Redfoot was Adopted out 10/28/2025


We want to thank Gina at Florida Redfoot Tortoise Sanctuary for helping us adopt our wonderful Kirby girl. We made the decision to get a Redfoot but knew that we wanted to “adopt not shop.” So I started googling for rescues and I’m so glad I found Gina! From the very start she was so responsive and helpful. She’s incredibly knowledgeable and it’s obvious how much she loves these animals. We had the opportunity to visit her sanctuary and it’s wonderful. The tortoises are truly living their best lives!
Allison McLeod Boutwell, LCSW


This Loving Family Just adopted another incredibly adorable female from us to have to play with Kirby
02/01/2026
🐢 Adoption Services
Helping find loving homes for Redfoot tortoises in need of a forever family.
Every applicant wishing to become an adoptive tortoise parent is fully vetted to ensure they can provide the proper lifelong care, environment, and commitment these amazing animals deserve.
We are a registered 501(c)(3) nonprofit.
All donations are tax-deductible.
Funds go directly to animal care and sanctuary maintenance.
EIN: 99-5045475


Sanctuary
Caring for Redfoot Tortoises - Whether you just want to rehome them here or if they are rescues, abandoned or mistreated Redfoot tortoises - Contact Gina !
Cell #301-312-0184
© 2025. All rights reserved.
Email us at: FloridaRfts@gmail.com


Baby - FLAME

Active Member of




















